
近期的某一天,烟台山医院北院急诊科同时收治了两位因情绪剧烈波动而诱发脑出血的患者。
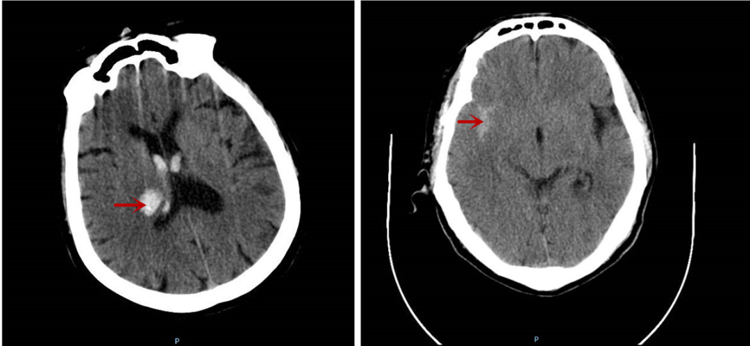
据悉,这两位患者在送医时分别呈现突发头痛伴头晕、突发肢体活动障碍等症状,经急诊颅脑CT检查,一位确诊为丘脑出血,另一位为蛛网膜下腔出血。

图中所示分别为丘脑出血及蛛网膜下腔出血情况
经过及时抢救与系统康复治疗,其中一位患者在出院时肌力已恢复正常,顺利出院;另一位患者出院时一侧肢体肌力为3级,若能继续接受规范康复治疗,其日常生活自理能力有望逐步恢复,未来生活质量将得到有效保障。
脑出血是指脑部血管破裂导致脑实质内或脑室内出血的危急重症,以动脉破裂最为常见。该病起病急、进展快、致残率高,是急诊科常见重症之一。
脑出血全年均可发生,但在气温骤变或寒冷季节更为多见,常由情绪激动、剧烈活动、咳嗽或用力排便等因素诱发。季节交替与情绪激动均为脑出血的重要诱因,若二者叠加,发病风险将显著升高,特别是有高血压、脑血管畸形等基础疾病的患者尤须警惕。
烟台山医院北院急诊科负责人柳海滨提醒广大市民,应注意以下防范要点:
一、平稳控制血压。高血压患者应坚持每日监测血压,遵医嘱规律服药,避免出现血压大幅波动。
二、保持情绪稳定。维持心态平和,避免大喜大悲等剧烈情绪变化,可通过深呼吸、冥想等方式帮助平复心情。
三、注意环境适应。天气变化时应及时防寒保暖,适度锻炼身体,避免突然暴露于极端温度环境中。
柳海滨特别强调,如出现突发剧烈头痛、呕吐、意识障碍、嗜睡、昏迷、视力模糊或丧失等表现,应立即就医,争取宝贵的救治时间。
专业配资公司提示:文章来自网络,不代表本站观点。